
  Profesor de resonancia magnética cardíaca, Jefe de resonancia magnética cardíaca / Director MRI Core Lad para el Centro Alemán del Corazón de Berlín y Charite University Medicine Berlin, Alemania.

  Profesor asociado de radiología clínica,  Profesor asociado de medicina interna, para LSU Health New Orleans, EE.UU.
    Fortalecimiento de la confianza clínica y la eficiencia de las images cardíacas   En este seminario web, el Prof. Sebastian Kelle y el Prof. Raman Danrad comparten sus experiencias con el uso de un sistema de RM de 1.5T y una TC espectral para mejorar las imágenes cardíacas. También discuten las perspectivas sobre el impacto actual del COVID-19 y hablan sobre nuevas pautas clínicas para el manejo de la enfermedad en su fase postaguda.

    Los diagnósticos tradicionales carecen de la visibilidad necesaria para ver los efectos del tratamiento cardíaco o detectar la disfunción antes de que ocurran los síntomas. Al combinar la secuencia de adquisición de resonancia magnética de Philips Fast-SENC con la herramienta de análisis MyoStrain de Myocardial Solutions, se pueden medir directamente los cambios tempranos y sutiles en la función cardíaca.
 

    Al combinar smart-sync desarrollado por NORTHH MEDICAL, un sistema de ultrasonido Doppler compatible con IRM, con un sistema de RM de Philips, hicimos posible la RM cardíaca fetal prenatal para proporcionar información diagnóstica adicional que puede ayudar con el diagnóstico de cardiopatías congénitas fetales, si la ecocardiografía no es concluyente. Para obtener más información sobre la smart-sync y averiguar qué piensan nuestros clientes, haga clic aquí.
 

    .Debido al diseño del imán BlueSeal, hay una transferencia de energía insignificante desde la bobina de gradiente hasta el imán. Esto permite mantener una estabilidad B0 perfecta a lo largo del tiempo, lo que es especialmente beneficioso para las adquisiciones sensibles a B0, como las secuencias cardíacas de bTFE.

    IntelliSpace Portal ofrece una suite integral de resonancia magnética cardíaca, que proporciona flujos de trabajo dedicados para análisis funcional, viabilidad, LGE, evaluación de mapeo cardíaco y análisis funcional de VD/VI en menos de 5 minutos por caso3.

    La adición de Compressed SENSE a sus exámenes cardíacos reduce el tiempo que el paciente pasa en el escáner de resonancia magnética y permite la reducción de los tiempos de retención de la respiración mientras mantiene una calidad de imagen prácticamente igual6. Compressed SENSE es aplicable tanto a adquisiciones 2D como 3D.

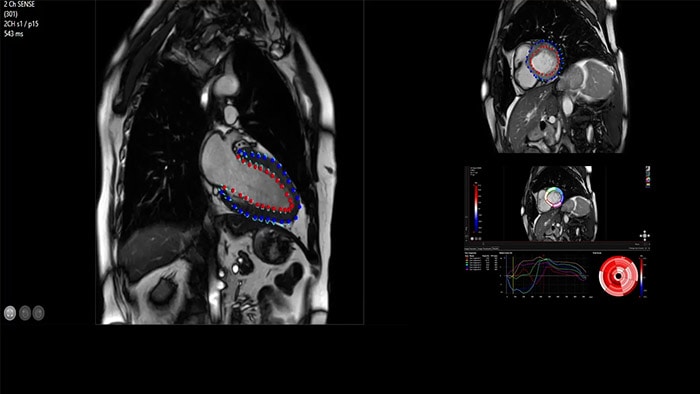
    La utilidad diagnóstica y pronóstica de la RM cardíaca está aumentando. Evaluar la anatomía y función del corazón mediante adquisiciones cinematográficas, adquirir información sobre perfusión y viabilidad del tejido cardíaco, visualizar posibles edemas con secuencia de sangre negra, acceder e incluso cuantificar la caracterización tisular con CardiacQuant.

    VitalScreen no solo proporciona orientación en la colocación de la bobina, sino que también ofrece la posibilidad de ver la señal de ECG ya en la sala del escáner. Al realizar una exploración de perfusión por estrés, no es necesario salir de la sala del escáner para controlar la frecuencia cardíaca.

    Los exámenes cardíacos contienen muchos comandos de retención de la respiración. AutoVoice elimina estas tareas repetitivas para el tecnólogo de RM. En combinación con VitalEye, los comandos de retención de la respiración se activan dentro del ciclo de respiración natural del paciente, para proporcionar una calidad de imagen superior4 y una mejor experiencia del paciente.

    Los marcapasos no son una contraindicación dura para CMR, hay muchos marcapasos con condiciones para RM. ScanWise Implant5 ofrece orientación paso a paso para introducir los valores de condición del fabricante del implante y aplicar automáticamente estos valores a todo el examen.Simplificación de su proceso de escaneo para pacientes con implantes con condiciones para RM.

    In-bore Connect proporciona información y orientación en tiempo real al paciente durante el escaneo, para mejorar el cumplimiento. Una barra de progreso personalizada indica la duración y la información sobre el progreso del escaneo, mientras que los auriculares cómodos permiten a los pacientes recibir señales de retención de la respiración. Una experiencia de video inmersiva distrae y entretiene a los pacientes mientras están acostados en la cavidad.

    Dado que los pacientes cardíacos suelen estar bastante enfermos, es aún más importante crear un ambiente amigable para el paciente. Las soluciones de Ambient Experience son un enfoque holístico, que proporciona una experiencia inmersiva y multisensorial. Los pacientes pueden personalizar la sala de examen de RM con iluminación dinámica, proyección y sonidos. Esto crea una distracción positiva y reduce el estrés.

    Ofrezcále a sus pacientes una experiencia cómoda en la mesa de exámen gracias al colchón ComfortPlus. En promedio, al 90 % de los pacientes que padecen molestias intensas les resulta fácil permanecer quietos en el colchón ComfortPlus durante el examen. Las imágenes clínicas obtenidas cuando se usó el colchón ComfortPlus son de una calidad diagnóstica igualmente alta a las obtenidas con un colchón de mesa de examen estándar.

    La solución de postprocesamiento IntelliSpace Portal MR Caas (7,8) 4D Flow permite la generación de reconstrucciones de volumen 3D para visualizar y evaluar el flujo sanguíneo en estructuras cardiovasculares, incluidas válvulas cardíacas, cámaras y vasos, basándose en imágenes cardiovasculares de MR 4D Flow.

    IntelliSpace Portal MR Caas(7,8) Strain(9) ayuda en el diagnóstico y monitoreo del paciente al proporcionar parámetros de deformación global como la deformación longitudinal global (GLS), la tensión circunferencial global (GCS) y la tensión radial global (GRS), mediante imágenes de RM de eje corto y largo, así como también al describir la deformación del miocardio, como el acortamiento, el engrosamiento y el alargamiento durante el ciclo cardíaco.

    Casos clínicos de casi todas las anatomías    Explore más de 100 casos clínicos de sus colegas en todo el mundo que muestran cómo la tecnología digital de RM de Philips fortalece sus necesidades de imágenes.
  
 
 
 
 
 
 
You are about to visit a Philips global content page
Continue